커뮤니티

커뮤니티

진료케이스

심장센터

흥분하면 쓰러지는 강아지, 범인은 폐고혈압(PH)이었습니다. (1)

페이지 정보

profile_image
  • 최고관리자

  • 2026-04-17

본문


3b5a6cb0f0735f89df35c2e207e2d7ba_1776391049.jpg
 

안녕하세요.

김해 강아지·고양이 심장전문 동물병원, 김해동물메디컬센터입니다!



3b5a6cb0f0735f89df35c2e207e2d7ba_1776391076_1787.png

오늘은 최근 흥분 시 실신(Syncope) 증상으로 내원하여 폐고혈압(Pulmonary Hypertension) 진단을 받고,

현재 약물 관리로 아주 건강하게 지내고 있는 아이의 이야기를 들려드리려 합니다.



1. 실신, 왜 발생하는 걸까요? (감별진단 목록)


아이가 갑자기 쓰러지면 당황하기 마련입니다.

수의학적으로 실신은 뇌로 가는 혈류나 산소가 일시적으로 부족해질 때 발생하며,

크게 다음과 같은 원인들을 의심해 볼 수 있습니다.


심장성 원인: 부정맥, 판막 질환(MMVD), 심근증, 그리고 오늘 다룰 폐고혈압.

신경성 원인: 혈관미주신경성 실신(과도한 흥분이나 통증에 의한 반응).

호흡기성 원인: 기관허탈(Tracheal Collapse), 만성 폐질환에 의한 저산소증.

기타: 저혈당, 빈혈, 전해질 불균형 등.


이 중 폐고혈압은 폐로 가는 혈관의 압력이 높아져 우심장이 피를 제대로 뿜어내지 못할 때 발생하며,

특히 흥분 시 산소 요구량이 급증할 때 실신으로 이어지는 경우가 많습니다.



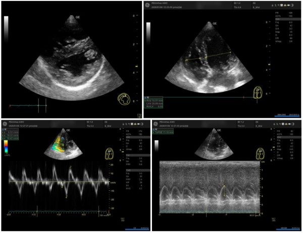
2. ACVIM Consensus 알고리즘에 따른 진단

폐고혈압은 단순히 압력이 높다는 것만으로 진단하지 않습니다.

ACVIM 가이드라인은 삼첨판 역류(TR) 속도와

우심계의 구조적 변화(PH signs)를 종합하여 가능성을 평가합니다.



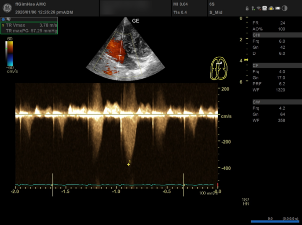
① TR(삼첨판 역류) 수치

TR Vmax: 3.78m/s (기준치인 3.4m/s를 훨씬 초과)

TR maxPG: 57.25mmHg

3b5a6cb0f0735f89df35c2e207e2d7ba_1776391152_4628.png




② RV(우심실)의 구조적 변화와 기능

우심실의 압력이 높아지면 좌심실을 압박하게 됩니다.

IVS Flattening (심실중격 평탄화): 우심실 압력으로 인해 좌심실이

'D자 모양'으로 눌리는 현상이 관찰되었습니다. (LV eccentricity index 변화)

Underfilling of LV: 좌심실로 들어오는 혈류량이 줄어들어 좌심실 크기가 작아진 상태입니다.

RV 기능 지표: S' 12.32cm/s, TAPSE 11.18mm 등으로 우심실의 수축력을 정밀 평가하였습니다.

3b5a6cb0f0735f89df35c2e207e2d7ba_1776391177_548.jpg




댓글목록

등록된 댓글이 없습니다.