흥분하면 쓰러지는 강아지, 범인은 폐고혈압(PH)이었습니다. (2)
페이지 정보

최고관리자
2026-04-17
본문
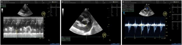
③ PA(폐동맥)의 혈류 역학
PA:Ao ratio: 1.15 (폐동맥이 대동맥보다 굵어짐, 정상은 < 1.0)
PV AT:ET ratio: 0.14 (폐동맥 혈류 분출 시간이 매우 짧아짐)
RVOT Velocity Pattern: Pattern 2 (Notching) 관찰. 이는 폐혈관 저항이 매우 높음을 시사하는 전형적인 소견입니다.
RPAD (Right Pulmonary Artery Distensibility): 0.25로 폐동맥의 탄성도 저하 확인.
④ RA(우심방) 확장
RAA/BSA: 8.52로 우심방의 유의미한 확장이 확인되었습니다.
종합 판단: 이 아이는 TR 속도가 3.4m/s를 넘고, 3가지 카테고리(RV, PA, RA)에서 모두 PH 관련 징후가 나타나
ACVIM 기준 '폐고혈압 가능성 높음(High Probability)' 그룹으로 진단되었습니다.
어떤 원인에 의한 폐고혈압인가? (ACVIM Group 감별 진단)
단순히 "폐고혈압이다"라고 진단하는 것에서 그치지 않고,
ACVIM PH Consensus에서 권고하는 알고리즘에 따라
이 아이의 상태를 일으킨 근본 원인을 추적(Group Classification)해 보았습니다.
Group 2 (좌심실성 심장질환) 제외
가장 먼저 노령견에서 흔한 이첨판 폐쇄부전증(MMVD)을 검토했습니다.
초음파 결과, 판막의 경미한 변성은 있었으나 좌심방 및 좌심실의 확장이 전혀 없는 MMVD Stage B1으로 확인되었습니다.
즉, 왼쪽 심장 문제로 인해 혈액이 정체되어 폐혈관 압력이 높아진 상태는 아니었습니다.
Group 3 (호흡기 질환 및 저산소증) 관련성 낮음
검사 상 폐고혈압을 유발할 만한 심각한 수준의 폐실질 질환(Pneumonia, Fibrosis 등)이나
상부 기도 폐쇄(기관 허탈 등)는 확인되지 않았습니다.
Group 5 (심장사상충 및 기생충) 제외
사상충 키트 및 초음파 검사를 통해 심장사상충 감염 등 기생충에 의한 혈관 폐쇄 가능성을 배제하였습니다.
기타 그룹 제외
혈전(Group 4)이나 전신 질환에 의한 PH(Group 6)를 의심할 만한 특이 소견 또한 발견되지 않았습니다.
댓글목록
등록된 댓글이 없습니다.


